Schedule an Appointment
905-451-9344

HOME

ABOUT US

CONTACT US

Smile Gallery

The Smile Gallery at Brampton’s Beech Dentistry

Take a look through our smile gallery to see our patients' wonderful transformations. Beech Dentistry offers a wide range of general and cosmetic dental services including veneers, teeth whitening, and bonding. Let us help you bring out the best in your smile. Call our dentist office in Brampton to book your consultation.

Smile Design
Porcelain Veneers

Problem
Leslie neglected her teeth when she wore braces, which left her with stained enamel. She wanted to improve her smile without returning to braces.

Solution
Direct bonding on six upper teeth in one visit masked the discolouration and reshaped teeth, giving a big boost to Leslie's smile and confidence.

Smile Design
Porcelain Veneers

Problem
Leslie neglected her teeth when she wore braces, which left her with stained enamel. She wanted to improve her smile without returning to braces.

Solution
Direct bonding on six upper teeth in one visit masked the discolouration and reshaped teeth, giving a big boost to Leslie's smile and confidence.

Smile Design
Implants/Bridges/Veneers

Problem
Myrna was missing teeth on the upper left side and had worn discoloured teeth with an old bridge on the upper right side. She wanted a new smile without a partial denture.

Solution
Myrna's smile was recreated using implants on the upper left side, new fixed bridges on the upper left, and right sides and veneers on her four front teeth.

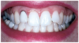
Smile Brightening
Tooth Whitening

Problem
Unhappy with the way her teeth had darkened over time, Monique wanted to bring back the whiteness of his smile.

Solution
Upper and lower teeth were whitened using a home whitening system. Great results were achieved in just two weeks.

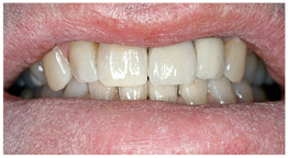
Crown Replacement
All Porcelain Crown

Problem
Brenda did not like the appearance of the crown on her upper right incisor. It looked too opaque and had a dark shadow at the gum line..

Solution
Brenda's old crown was removed and replaced with a new, all porcelain crown that allows light to shine through it, preventing the shadow.

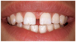
Gap Closure
Porcelain Veneers

Problem
Jim was not happy with the gap between his front teeth. He felt it gave him a "goofy" smile.

Solution
our porcelain veneers were applied to close up the space and give Jim a more mature smile.

Smile Design
Porcelain Veneers

Problem
Joanne took the antibiotic Tetracycline prior to the eruption of her adult teeth. This caused the mauve/grey shading seen here. She also disliked her left upper incisor, which was rotated.

Solution
The application of ten porcelain veneers to mask the staining and reposition the rotated tooth gave Joanne this attractive, even smile.

Tooth Restoration
Crowns & Bridges

Problem
Sam's teeth had been filled too heavily. Eventually, one tooth fractured in half. Another tooth was badly discoloured and needed attention as well.

Solution
All porcelain crowns were placed on both teeth. A natural appearance was created that matched remaining teeth.